Case

目元Eyes

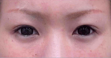
パラレルクイック埋没法

  • パラレルクイック埋没法 施術前 パラレルクイック埋没法 施術後

    アイプチ使用していましたが取れない二重まぶたをご希望でした。 まぶたに厚みがなく埋没法でも外れないと判断し、3点法にて取れない二重まぶたを作りました。

    施術時間
    15分
    入退院
    日帰り手術
    料金
    132,000円
  • パラレルクイック埋没法 施術前 パラレルクイック埋没法 施術後

    左右差のない自然な二重まぶたをご希望でした。まぶたの厚みが無く埋没3点法で十分対応可能と判断し埋没法を行いました。この方は術後10年経過した今でも来院されますが、今ではすっかり定着されていらっしゃいます。

    施術時間
    15分
    入退院
    日帰り手術
    料金
    132,000円

眼瞼下垂

  • 眼瞼下垂 施術前 眼瞼下垂 施術後

    M様は「1度の手術で見た目をガラッと変えたい」とのご希望でしたので、眼瞼下垂の他、目頭切開、鼻とアゴ、頬の脂肪吸引を行いました。毎回検診のたびに明るくなられ、ご本人曰く「自分に自信がついた」と笑顔で話されていました。

    施術時間
    60分
    入退院
    日帰り手術
    料金
    550,000円
  • 眼瞼下垂 施術前 眼瞼下垂 施術後

    眼瞼下垂治療後1ヶ月です。1、2ヶ月経つと更に自然な二重になっていきます。まぶたの重さを取り除き、ご希望の二重の幅を作りました。ご本人曰く「初対面の人と会う時も堂々としていられる」と笑顔で仰っていました。

    施術時間
    60分
    入退院
    日帰り手術
    料金
    550,000円

ハムラ法

  • ハムラ法 施術前 ハムラ法 施術後

    目の下のクマとタルミがセルフケアしても一向に取れないとお悩みでした。術後はクマやたるみ隠しのメイクをしなくて済むようになったと笑顔で話してくださいました。

    施術名
    表ハムラ法
    適応年齢
    20歳~50歳未満(個人差あり)
    リスク合併症
    リスク合併症
    リスク合併症
    出血、色素沈着
  • ハムラ法 施術前 ハムラ法 施術後

    目の下のクマがコンシーラーでも取れないとお悩みでした。たるみやシワが目立たなかったので、裏ハムラ法でクマを取り除きました。術後は凸凹がなくなり若見えするようになりました。

    施術名
    表ハムラ法
    適応年齢
    20歳~50歳未満(個人差あり)
    リスク合併症
    リスク合併症
    リスク合併症
    出血、色素沈着

下眼瞼切開

  • 下眼瞼切開 施術前 下眼瞼切開 施術後
    施術時間
    60~90分
    入退院
    日帰り手術
    料金
    550,000円〜

マイクロカット法(脱脂+埋没法)

  • マイクロカット法 施術前 マイクロカット法 施術後

    一重でまぶたが重たいのがお悩みでした。まぶたの脂肪が多く埋没法だと外れやすいと診断し、マイクロカット法適応になりました。1mmの穴から脱脂するため傷跡は目立ちません。術後検診に来られる度に笑顔が多くなられたのが印象的でした。

    施術時間
    40分
    入退院
    日帰り手術
    料金
    220,000円〜
  • マイクロカット法 施術前 マイクロカット法 施術後

    まぶたの皮膚の厚みはそれほどありませんでしたが眼窩脂肪が多いタイプでしたのでマイクロカット法の適応になりました。一切切開することなく穴から脂肪を取り出しその穴を利用して脱脂を行うので傷跡が残らず、軽いまぶたに仕上がります

    施術時間
    40分
    入退院
    日帰り手術
    料金
    220,000円〜

ミニマムカット法(小切開法)

  • ミニマムカット法 施術前 ミニマムカット法 施術後

    パッチリとした二重まぶたがご希望でした。まぶたの脂肪が少なく皮膚自体に厚みがありましたので埋没法だと外れやすく癒着しにくいことからミニマムカット法で二重のラインを作りました。傷跡も目立たず一生外れない二重まぶたの完成です。

    施術時間
    40分
    入退院
    日帰り手術
    料金
    220,000円
  • マイクロカット法 施術前 ミニマムカット法 施術後

    まぶたに厚みがあり埋没法の多点留めでも外れてしまう可能性が高くまぶたへの負担も大きいため、ミニマムカット法が適応されたケースです。1度施術してしまえば半永久的でまぶたへの負担も軽くて済みます。

    施術時間
    40分
    入退院
    日帰り手術
    料金
    220,000円

目頭切開

  • 目頭切開 施術前 目頭切開 施術後

    目頭から立ち上がる並行型の二重まぶた&目の幅を大きくしたいとのご希望でした。目頭の蒙古ひだを取り除いたあとまぶたの筋肉を縫い縮めて二重まぶたを作りました。二重まぶたの形、幅、長さなどご希望通りに仕上げました。

    施術名
    目頭切開+眼瞼下垂治療
    施術時間
    40分
    入退院
    日帰り手術
    料金
    220,000円
  • 目頭切開 施術前 目頭切開 施術後

    ホストでしたが目つきが悪く指名がとれないのが悩みでした。アイドルのようなパッチリ二重をご希望でしたのでやや広めの二重幅と蒙古襞を取り除き希望通りの目元に仕上げました。術後は指名が自信もついて3倍に増えたそう。

    施術名
    目頭切開+眼瞼下垂治療
    施術時間
    40分
    入退院
    日帰り手術
    料金
    220,000円

目尻切開

  • 目頭切開 施術前 目尻切開 施術後
    施術名
    目尻切開
    施術時間
    60分
    入退院
    日帰り手術
    料金
    330,000円
  • 目頭切開 施術前 目尻切開 施術後
    施術名
    目尻切開+グラマラスライン
    施術時間
    60分
    入退院
    日帰り手術
    料金
    330,000円

クマ治療

  • クマ治療 施術前 クマ治療 施術後

    目の下のクマにより「疲れて見える」「老けてみられる」のがお悩みでした。年齢的にもまだお若いので皮膚は切らずにまぶたの裏から眼窩脂肪を除去し目袋の部分をフラットな状態に整えました。また、早期に眼窩脂肪を除去するメリットとして、将来タルミ予防に繋がりいつまでも若々しい状態がキープできることです。

    施術名
    経結膜脱脂30 + 脂肪注入
    施術時間
    30分
    入退院
    日帰り手術
    料金
    660,000円

上眼瞼脂肪注入

  • 上眼瞼脂肪注入 施術前 上眼瞼脂肪注入 施術後

    周りから変な目で見られてしまい人前に出るのが苦痛。左右の目元を揃えて欲しいというお悩みでした。そこで、右まぶたはタルミを取ってミュラー筋タッキング法を行い、左まぶたは腹部の脂肪を採取して上眼瞼脂肪注を行いました。画像は1週間後の状態です。今後腫れが引き更に自然なまぶたに改善します。

    施術名
    右眼險下垂修正+左上眼瞼脂肪注入
    施術時間
    60分
    入退院
    日帰り手術
    料金
    440,000円

涙袋形成術
(ヒアルロン酸注入/脂肪注入)

  • 涙袋形成術(ヒアルロン酸注入/脂肪注入) 施術前 涙袋形成術(ヒアルロン酸注入/脂肪注入) 施術後

    目が一重で小さく地味な目元がお悩みでした。術後はご本人のご希望通り目元が大きく華やかになり、涙袋形成したことで更に愛らしく若々しい印象になりました。

    施術名
    涙袋形成+眼瞼下垂治療+
    目頭切開+内側靭帯短縮術
    施術時間
    60~90分
    料金
    涙袋形成(脂肪注入):330,000円
    涙袋形成(ヒアルロン酸注入 0.1cc):11,000円

Nose

鷲鼻修正

  • before before

    鼻が大き過ぎて男性のような鼻なので、もっと鼻幅を細く鼻の穴を小さくして女性らしく綺麗な鼻をご希望されていました。全体的に鼻を修正する必要があり「鼻フルコース」を行いました。(鼻骨骨切り、鼻尖縮小、鼻翼縮小、鼻孔縁挙上、鼻柱挙上)全身麻酔下で行いましたので寝てる間に全て終了いたします。術後はしっかり圧迫固定し腫れや炎症を予防いたします。このように、どんな鼻に関するお悩みもご希望通りの理想的な鼻に仕上げていきます。ホームページに紹介していない術式も多数ございますのでお悩みの方はお気軽にご相談ください。

    性別/年齢
    女性 42歳
    施術時間
    約40~60分
    ※施術内容によって異なります。
    入退院
    日帰り手術
    料金
    ¥330,000〜
    ※施術内容によって異なります。
    リスク
    施術箇所に強くぶつかったり、力を加えたりしないようにしてください。強い腫れは3日程度がピークですが、腫れが引くまでには個人差があります。

隆鼻術

  • before before

    東京院のモニター様です。元々とてもお綺麗なのですが、目頭切開・目尻切開・涙袋形成・隆鼻の手術を受けられて、より一層華やかなお顔立ちに。これからモデルさんとして世界を目指していかれるとのこと。ますますのご活躍を期待しております。皆様も応援してください。

    施術時間
    約30分
    入退院
    日帰り手術
    料金
    ¥330,000
    リスク
    プロテーゼの位置がしっかり固定されるまで一ヶ月ほどかかりますのでその間に鼻をいじったり、プロテーゼに強い力が加わるようなことはなるべく避けて下さい。腫れが引くまでには個人差があります。早く引くように、アドバイスさせて頂きます。
  • before before

    目と目の間を1mmだけ高くしましたバレずに自然で美しい鼻筋になり第一印象がよくなりました。

    施術時間
    約30分
    入退院
    日帰り手術
    料金
    ¥330,000
    リスク
    プロテーゼの位置がしっかり固定されるまで一ヶ月ほどかかりますのでその間に鼻をいじったり、プロテーゼに強い力が加わるようなことはなるべく避けて下さい。腫れが引くまでには個人差があります。早く引くように、アドバイスさせて頂きます。
  • before before

    目と目の間を1.5mm程高くし全体的に鼻筋をを通しました。自然な鼻筋でご家族も気が付かなかったそうです。

    施術時間
    約30分
    入退院
    日帰り手術
    料金
    ¥330,000
    リスク
    プロテーゼの位置がしっかり固定されるまで一ヶ月ほどかかりますのでその間に鼻をいじったり、プロテーゼに強い力が加わるようなことはなるべく避けて下さい。腫れが引くまでには個人差があります。早く引くように、アドバイスさせて頂きます。

プチ隆鼻 ヒアルロン酸注入

  • before after
    施術時間
    約5~15分
    入退院
    無し。すぐ帰宅できます。
    料金
    ¥11,000(0.1cc)
    リスク
    注意深く細い鼻筋を作っても数ヶ月かけてヒアルロン酸が徐々に周囲に広がりますので、少し形が変わってしまう場合があります。

鼻尖部縮小

  • before before

    鼻先が丸いこと、鼻の穴が大きいことがお悩みでした。ご本人のご希望通り鼻先をナチュラルに尖らせて小さくし鼻穴が縦長になるよう鼻翼の形成を行いました。鼻の施術は全体のバランスを見て作り上げることが大切です。

    施術名
    縮小+鼻翼縮小
    施術時間
    約40~60分
    入退院
    日帰り手術
    料金
    ¥330,000
  • before before

    ニンニクみたいな鼻先を小さくしたいとお悩みでした。事前にシミュレーションをしっかり行い希望通りに鼻先を小さくし理想的な鼻尖部を作りました。鼻先の印象が変わるだけでお顔全体の雰囲気も整いました。

    施術名
    鼻尖縮小
    施術時間
    約40~60分
    入退院
    日帰り手術
    料金
    ¥330,000

Mouth

ガミースマイル

  • before after

    「歯茎が見えるので口をあけて笑えない」というお悩みでした。1回で終わりにしたいとのご希望でしたので、ご自分の耳介軟骨を利用して上口唇に移植し、上口唇が上がらないよう治療しました。術後は自然に笑うことができるようになりました。

    施術名
    耳介軟骨移植術
    年齢/性別
    24歳 女性
    入退院
    日帰り手術
    料金
    ¥330,000
    リスクについて
    ・手術中の感染が0ではありません。また手術後の傷あとからの感染の可能性が極まれにありますのでお渡しした内服薬は確実にお飲みください。 ・ボツリヌストキシンの効果は約半年なので自然に元に戻ってきます。キープするには再度注射することで効果を持続させることができます。 ・内出血が1週間程度、稀に出る場合があります。 ・妊娠中、授乳中、妊活中の注入はできません。
  • before after

    「笑うと歯茎が目立ってしまい常に気にしてしまう」とのお悩みでした。最初お試しでボトックス注入を行いましたが、やはり4〜5ヶ月で戻ってしまうため今回耳介軟骨を移植しました。施術は仕上がりの状態をシミュレーションしながらベストな位置に固定いたしました。術後は心から笑えるようになったと笑顔で話して下さいました。

    年齢/性別
    24歳 女性
    入退院
    日帰り手術
    料金
    ¥330,000
    リスクについて
    ・手術中の感染が0ではありません。また手術後の傷あとからの感染の可能性が極まれにありますのでお渡しした内服薬は確実にお飲みください。 ・ボツリヌストキシンの効果は約半年なので自然に元に戻ってきます。キープするには再度注射することで効果を持続させることができます。 ・内出血が1週間程度、稀に出る場合があります。 ・妊娠中、授乳中、妊活中の注入はできません。
輪郭・顎・小顔Outline

顎プロテーゼ

  • before after
    before after
    性別/年齢
    35歳女性
    お悩み
    口もとに締まりがなく顔が大きく見えてしまう
    施術時間
    約60分
    入退院
    日帰り手術
    料金
    ¥330,000
    解説
    アゴがシャープだと横顔が美しく見えます。エステティックライン(Eライン)を意識して施術を行うとバランスの良いベストな仕上がりになります。
    施術
    お口の中を少しカットし患者様のご希望を優先し、尚且つプロとしてのアドバイスをしながら最終的に大きさと形を決定しました。骨膜下に留置ししっかり固定するので他人に触れられてもバレません。とても美しく理知的な横顔になったと喜んで頂けました。

頬骨削り

  • before after
    before after

    頬骨が張っていると顔が大きく見えたり、頬がコケたりと気が強そうに見られがちです。それも頬骨を削るだけで、小顔効果と痩せこけた印象も解消し、優しい印象を醸し出します。

    性別/年齢
    36歳女性
    お悩み
    顔が大きい、頬が凹んでる、小顔になりたい
    施術時間
    180分
    入退院
    日帰り手術
    料金
    前面 ¥1,100,000
    側面 ¥1,320,000
    前面+側面 ¥1,540,000

エラ削り

  • before after

    四角に張った感じのエラの輪郭と、加齢に伴う筋肉皮膚の緩みで著明になった頬骨の出っ張りを修正して全体的に女性らしいソフトな小顔に仕上げました。

    施術名
    エラ削り+頬骨削り
    施術時間
    120分
    入退院
    日帰り手術
    料金
    ¥1,100,000

下顎前突症

  • before after

    受け口で歯の噛み合わせが上下反対なのがお悩みでした。歯科矯正とは違い当院は噛み合わせのみならず顔の作りや筋肉などのバランスを重視した上で、美容外科医と歯科医が共同で施術するので、自然な仕上がりがわずか1日で完成いたします。

    性別/年齢
    24歳女性
    施術時間
    120分
    入退院
    日帰り手術
    料金
    ¥1,100,000
pagetop